

脑悦康数字化健康平台,基于南加州大学梁京院士28年研究,系统提升睡眠、情绪与记忆力。服务10万余众,现提供免费专项评估与个性化解读,开启您的科学健康管理。
前言:脂肪酸受体是阿尔茨海默病的“新钥匙”吗?
阿尔茨海默病(AD)的主要病理特征包括β-淀粉样蛋白(Aβ)沉积、Tau蛋白缠结和神经炎症,然而当前疾病修饰疗法仍显不足。

2025年发表于《Nature Aging》的一项开创性研究,通过整合结构生物学、细胞特异性敲除和行为学分析,首次揭示黑米中富含的两种不饱和脂肪酸——α-亚麻酸(ALA)和11,14-二十碳二烯酸(EDA)——能够通过变构激活斑块相关巨噬细胞/小胶质细胞(PAMAs)中的G蛋白偶联受体120(GPR120),显著抑制淀粉样病理并挽救认知功能。该研究不仅阐明了GPR120在大脑中的细胞特异性功能,更为AD的精准营养干预提供了新靶点。

一、 GPR120:大脑免疫细胞中的“脂肪酸传感器”
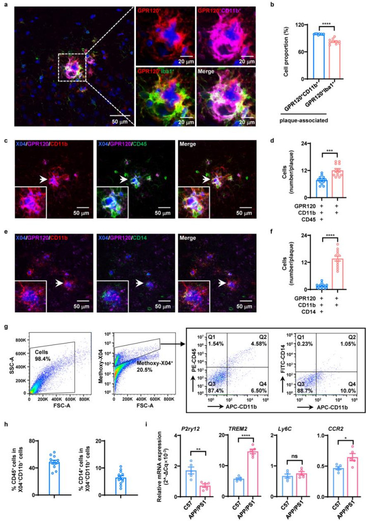
GPR120是长链脂肪酸受体,既往研究多关注其在外周代谢中的作用。本研究通过免疫荧光和流式细胞术发现,GPR120在AD模型小鼠脑内特异性表达于Aβ斑块周围的CD11b+ PAMAs中,而非远离斑块的静息小胶质细胞。值得注意的是,皮质神经元中仅有稀疏的GPR120表达,提示其功能具有细胞类型特异性。

二、 实验模拟:黑米饮食的“认知拯救计划”
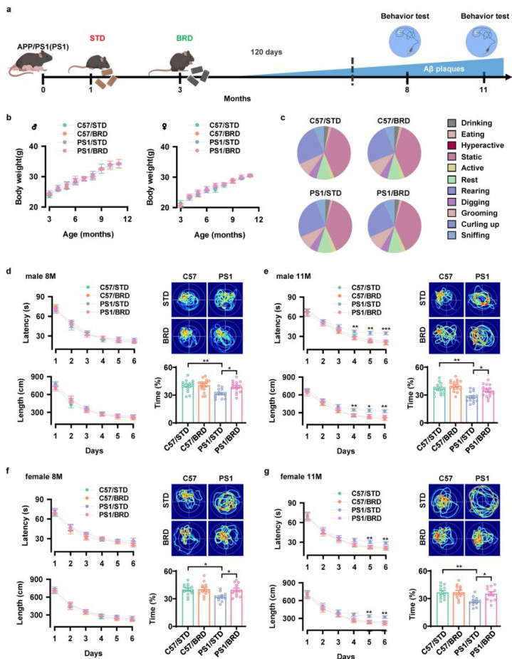
研究团队给3月龄APP/PS1和5xFAD转基因AD小鼠连续120天喂食含50%黑米麸皮的标准饮食(BRD),并以正常饮食(STD)组为对照。
行为学测试显示,BRD组小鼠在8月龄和11月龄时,莫里斯水迷宫目标象限停留时间和平台穿越次数均显著优于STD组,新型Y迷宫测试也证实其空间工作记忆改善。通过脂肪酸组学分析,研究人员锁定BRD中显著富集的ω-3脂肪酸ALA和ω-6脂肪酸EDA为关键活性成分。

三、 发现悖论:协同作用的“分子双人舞”
单独使用ALA(10-100μg/g)或EDA(5μg/g)均未产生显著认知改善,但两者以10:1比例联合给药时,即使低剂量(ALA 20μg/g + EDA 2μg/g)也能显著降低Aβ斑块负荷、提升突触密度并恢复长时程增强(LTP)。药代动力学显示联合给药后大脑ALA和EDA水平可持续升高至8月龄,提示协同效应可能源于药代动力学互促。
四、 结构揭秘:变构口袋中的“精密握手”
通过冷冻电镜解析GPR120-Gi复合物结构(分辨率3.0 Å),发现ALA以“L”形深入结合口袋最大深度12 Å,而EDA凭借C11-C14双键的π-π堆积作用穿透至13 Å。分子动力学模拟显示,投注ppEDA结合于GPR120的变构位点,使跨膜螺旋TM6向外位移4.5 Å,显著增强ALA与正构位点的亲和力(结合能降低5倍)。这种变构调控为Gαi1蛋白创造了结合空间,诱发非经典mTORC1信号激活。

五、 细胞特异性:PAMAs中的“关键开关”
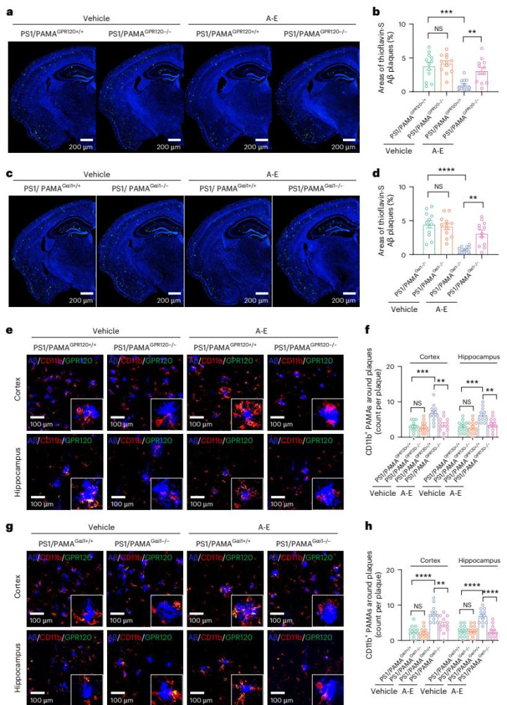
利用PAMAs特异性敲除GPR120(APP/PS1-PAMAGPR120-/-)或Gαi1(APP/PS1-PAMAGαi1-/-)小鼠模型,发现基因敲除完全消除了ALA+EDA的治疗效应:Aβ斑块清除率下降63%,突触棘密度恢复率降低71%,LTP诱导障碍。相反,皮质神经元中敲除GPR120未影响疗效,证实PAMAs是核心靶细胞。
{jz:field.toptypename/}
六、 机制深度:吞噬作用的“能量引擎”
在PAMAs中,ALA+EDA通过激活GPR120-Gαi1-mTORC1轴,促进Aβ-pHrodo的吞噬(增加2.3倍)和溶酶体降解(加速47%)。该过程不依赖于自噬关键蛋白ULK1的磷酸化,而是通过增强肌动蛋白重排和吞噬杯形成实现。敲除mTORC1支架蛋白Raptor后,吞噬效应被完全阻断,证实mTORC1是下游执行者。

七、 现实启示:从饮食到精准疗法的飞跃
ALA+EDA联合治疗使AD小鼠中位寿命从721天恢复至812天(与非AD对照组持平),且突触丢失率降低58%。这种低剂量组合策略避免了高剂量单一脂肪酸的代谢毒性,为转化医学提供新思路。未来可开发GPR120变构激动剂,实现细胞特异性靶向治疗。

总结:变构调控开启神经退行性疾病治疗新纪元
本研究首次揭示GPR120在大脑中的细胞特异性功能,阐明ALA与EDA通过变构协同激活PAMAs中GPR120-Gαi1-mTORC1通路,实现Aβ高效清除的分子机制。这种“营养-受体-免疫”三方互作的精准调控模式,为开发基于膳食脂肪酸的AD干预策略提供了理论基石。
转化医学启示:
组合优势:低剂量ALA+EDA规避单药高剂量风险
靶向精准:PAMAs特异性作用减少脱靶效应
结构引导:变构设计增强受体选择性未来可探索GPR120激动剂与Aβ抗体联合疗法,实现清除与免疫调节的双重增效。
睿健是脑悦康基于梁京院士团队成果的研发的脑营养补剂。其核心成分天然Smartone因子能稳定大脑抑制性受体,从根源改善睡眠与情绪,修复大脑活力,重塑日夜平衡。
1:小米15 Ultra与小米17 Ultra的对比,展现了两款旗舰手机在性能、...
近年来低GI概念普及度越来越高,低GI成人奶粉已经逐渐从中老年人的选择转变成各类...
话说,本周有一款高性能的小尺寸平板开售,那设立是简直好。 红魔电竞平板3 Pro...
海州童子戏《白骨夫人》是2025中国小剧场戏曲展演里特别的一场。剧名直白,“白骨...